림프종은 림프계의 비정상 세포 성장으로 발생하는 질환입니다. 다양한 형태와 예후를 가져, 이를 이해하는 것이 중요합니다. 본 글에서 림프종의 정의, 종류, 원인 및 치료 방법에 대해 자세히 알아보겠습니다.
림프종은 림프계에서 발생하는 암의 일종으로, 인체의 면역 시스템에 중요한 역할을 하는 림프구가 비정상적으로 분열하면서 발생합니다. 림프계는 우리가 일반적으로 잘 모르는 중요한 시스템으로, 림프관, 림프절, 그리고 비장과 같은 여러 장기로 구성되어 있습니다. 이 시스템은 감염과 싸우고, 체내의 노폐물을 제거하며, 체액의 균형을 유지하는 등의 역할을 합니다. 따라서 림프종의 발생은 신체의 방어 체계에 심각한 영향을 미칠 수 있습니다.
림프종은 크게 호지킨 림프종과 비호지킨 림프종으로 나눌 수 있습니다. 호지킨 림프종은 상대적으로 예후가 좋은 편이며, 특정한 종류의 세포가 관찰됩니다. 반면, 비호지킨 림프종은 다양한 형태와 행동 양식을 가지고 있어 예후가 천차만별입니다. 이와 같은 복잡성 때문에 환자와 의료진 모두에게 도전이 됩니다. 림프종의 발생 원인은 유전적 요인, 면역력 저하, 바이러스 감염 등 여러 가지가 있습니다.
그렇다면 림프종의 증상은 무엇일까요? 림프종의 대표적인 증상으로는 지속적인 발열, 체중 감소, 야간 발한, 피로감 및 림프절의 비대가 있습니다. 이러한 증상들은 비단 림프종뿐만 아니라 다른 질병에서도 나타날 수 있기 때문에, 정밀 검사를 통한 정확한 진단이 필수입니다. 다음으로, 림프종의 진단 방법에 대해 알아보겠습니다.
림프종의 진단 방법
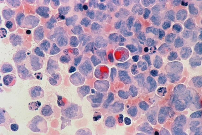
림프종의 진단은 일반적으로 여러 단계를 거쳐 이루어집니다. 처음에는 의료진이 환자의 병력과 증상을 평가하며 신체 검사를 진행합니다. 이후 혈액 검사나 초음파, CT, MRI 같은 이미징 검사로 림프절과 장기의 상태를 확인합니다. 하지만 이러한 검사만으로는 진단이 어려운 경우가 많아, 보통 림프절 생검이 필요합니다.

생검은 림프절 또는 종양의 일부를 채취하여 세포를 관찰하는 방법입니다. 이를 통해 악성 세포가 있는지 확인할 수 있습니다. 세포검사 결과에 따라 호지킨 림프종인지 비호지킨 림프종인지 분류할 수 있으며, 병기의 진행 정도도 파악할 수 있습니다. 이러한 방식으로 이루어지는 림프종의 진단 과정은 매우 중요하며, 치료 계획을 세우는 데 필수적입니다.
그렇다면 림프종의 치료 방법은 무엇이며, 치료 후의 생활은 어떻게 해야 할까요? 다음 섹션에서 림프종의 다양한 치료 옵션에 대해 알아보겠습니다.
림프종의 치료 방법
림프종의 치료 방법은 크게 방사선 치료, 화학 요법, 면역 요법, 그리고 줄기세포 이식으로 나눌 수 있습니다. 방사선 치료는 특정 부위의 암세포를 제거하기 위해 방사선을 이용하는 방법입니다. 이 치료는 특히 국소적인 림프종에 효과적입니다. 다음으로 화학 요법은 전신에 퍼져 있는 암세포를 공격하기 위해 약물을 사용하는 방법입니다. 이 치료는 몸 전체에 있는 악성 세포를 줄이는 데 효과적입니다.
면역 요법은 신체의 면역 시스템을 강화하여 암세포를 더욱 효과적으로 공격하게 돕는 치료법입니다. 최근에는 CAR-T 세포 치료와 같은 혁신적인 방법들이 등장하고 있어, 보다 많은 환자들에게 희망을 주고 있습니다. 마지막으로 줄기세포 이식은 고용량 화학 요법 후 환자의 혈액 세포를 재생하기 위해 사용되며, 재발성 림프종 환자에게 효과적인 선택지가 될 수 있습니다.

이렇게 다양한 치료 방법이 있지만, 환자 개개인의 상태와 암의 유형에 따라 최적의 치료 방법이 달라지기 때문에, 꼭 전문가와 상의해야 합니다. 다음 섹션에서는 림프종 치료 후 환자들이 주의해야 할 점과 생활습관에 대해 알아보겠습니다.
함께 읽어볼 만한 글입니다
림프종 치료 후 생활습관
림프종 치료 후에는 건강한 생활습관을 유지하는 것이 무엇보다 중요합니다. 건강한 식습관이 필수적이며, 다양한 영양소가 풍부한 음식을 섭취하는 것이 좋습니다. 과일과 채소, 통곡물, lean protein을 포함한 균형 잡힌 식사를 통해 면역력을 높일 수 있습니다. 또한, 규칙적인 운동은 체력을 증진시키고 스트레스 감소에도 도움이 됩니다. 일주일에 최소 150분의 유산소 운동과 근육 강화를 위한 운동을 고려하세요.
정신적인 건강도 간과할 수 없습니다. 치료 과정에서 생길 수 있는 우울감이나 불안감을 관리하기 위해 상담을 받거나 지원 그룹에 참여하는 것이 큰 도움이 될 수 있습니다. 이러한 지원 시스템이 있을 때 더 쉽게 어려움을 극복할 수 있습니다. 지속적으로 의사와의 소통을 유지하며 건강 상태를 체크하는 것도 잊지 마세요.
마지막으로, 알코올 소비를 줄이고 금연하는 것이 중요합니다. 이러한 나쁜 습관은 면역력을 낮출 뿐만 아니라 림프종 재발의 위험을 높일 수 있습니다. 더 건강한 삶을 위해 작은 변화부터 시작해 보십시오.
림프종은 처음에는 치명적인 질환처럼 느껴질 수 있지만, 긍정적인 마음가짐과 건강한 생활 습관을 통해 극복할 수 있습니다. 정확한 진단과 적절한 치료, 그리고 지속적인 관리가 환자들에게 큰 도움이 됩니다. 림프종에 대해 궁금한 점이 있다면 전문 의료진에게 문의하거나 관련 자료를 참고하는 것이 좋습니다.